ΘΕΜΑ ΚΡΗΤΗΣΘΕΜΑ ΚΡΗΤΗΣ
    • ΚΟΣΜΟΣ
    • ΟΙΚΟΝΟΜΙΑ
    • ΠΑΡΑΠΟΛΙΤΙΚΑ
    • ΑΘΛΗΤΙΚΑ
    • LIFESTYLE
    • Κίνηση στους δρόμους
    • Ο Καιρός στην Κρήτη
    • Εφημερεύοντα Φαρμακεία
    • Θέμα Κρήτης 103,1 Πρόγραμμα
    Facebook Twitter Instagram SoundCloud YouTube
    Τετάρτη, 05/11/2025 Κεντρικο Δελτιο Ειδήσεων
    Εφημερεύοντα Φαρμακεία Εφημερεύοντα   Κίνηση στους δρόμους Κίνηση   Καιρός στην Κρήτη Καιρός
    ΘΕΜΑ 103,1 LIVE
    ΘΕΜΑ ΚΡΗΤΗΣΘΕΜΑ ΚΡΗΤΗΣ
    Facebook Twitter Instagram SoundCloud YouTube
    • ΑΡΧΙΚΗ
    • ΡΟΗ ΕΙΔΗΣΕΩΝ
    • ΜΙΚΡΟΦΩΝΟ ΣΤΗ ΓΕΙΤΟΝΙΑ
    • ΜΙΛΗΣΑΝ ΣΤΟ 103.1
    • ΚΡΗΤΗ
    • ΕΛΛΑΔΑ
    • ΕΚΔΗΛΩΣΕΙΣ
    • ΟΔΗΓΟΣ ΑΣΦΑΛΙΣΗΣ
    • PODCASTS
    Κεντρικό Δελτίο
    ΘΕΜΑ LIVE
    Facebook Twitter Instagram SoundCloud YouTube
    ΘΕΜΑ ΚΡΗΤΗΣΘΕΜΑ ΚΡΗΤΗΣ
    Αρχική»Κρήτη»Στο νοσοκομείο κατέληξε ένας 4χρονος που κατάπιε κέρμα

    Στο νοσοκομείο κατέληξε ένας 4χρονος που κατάπιε κέρμα

    01/01/2024, 5:55 μμ1 λεπτά ανάγνωση
    Share
    Facebook Twitter Pinterest Reddit WhatsApp Email
    Your browser does not support the video tag.

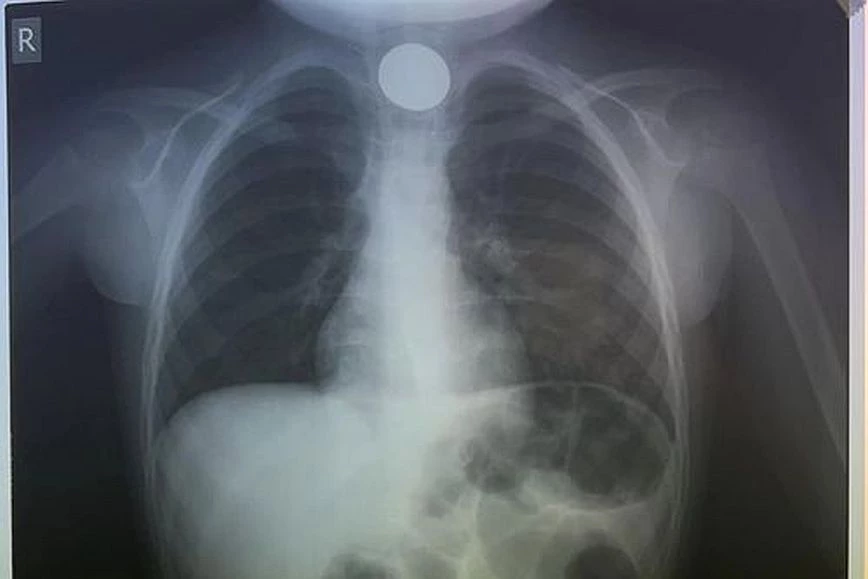
    Περιπετειώδες ήταν το τελευταίο βράδυ του 2023 για μία οικογένεια στην Κρήτη, καθώς το 4χρονο παιδί τους, λίγες ώρες πριν την έλευση του 2024, κατάπιε κατά λάθος ένα κέρμα και μεταφέρθηκε εσπευσμένα στο νοσοκομείο του Ηρακλείου.

    Ο μικρός κάτω από αδιευκρίνιστες συνθήκες κατάπιε κατά λάθος ένα κέρμα και όταν οι γονείς του αντιλήφθηκαν τι είχε συμβεί έσπευσαν να το μεταφέρθουν στο νοσοκομείο. Το παιδί δυσκολευόταν μεν να αναπνεύσει, αλλά ευτυχώς είχε τις αισθήσεις του.

    Όταν έφτασαν στο ΠΑΓΝΗ, η πρώτη κίνηση των γιατρών ήταν να του κάνουν ακτινογραφία, για να δουν σε ποιο σημείο ακριβώς είχε σταθεί το νόμισμα και αμέσως μετά προχώρησαν στη διαδικασία αφαίρεσής του. Δεν πέρασε πολύς χρόνος και οι γιατροί κατάφεραν να αντιμετωπίσουν επιτυχώς το επείγον περιστατικό, λύνοντας ταχύτατα το πρόβλημα.

    Μάλιστα σε σχετική ανάρτηση της Ωτορινολαρυγγολογικής Κλινικής του νοσοκομείου αναφέρεται το περιστατικό μαζί με ευχές για μια καλή χρονιά: «Αποχαιρετάμε το 2023 με επείγουσα αφαίρεση σε κατάποση κέρματος σε 4χρονο. Καλή Χρονιά».

    Κοινή χρήση Facebook Twitter Pinterest LinkedIn WhatsApp Reddit Email
    προηγουμενοΠρωτοχρονιάτικη “βόμβα” στον Ολυμπιακό: Έκλεισε Μάρτινς
    επομενο Λ. Μενδώνη: “Μείζον στόχος η επιστροφή των γλυπτών του Παρθενώνα”

    σχετικα νεα

    Συνελήφθη συγγενής του νεκρού 39χρονου για εμπλοκή του στο ένοπλο περιστατικό στα Βορίζια

    05/11/2025, 7:11 μμ

    Πλημμύρισε ο δρόμος στο Φόδελε

    05/11/2025, 6:47 μμ

    Την Παρασκευή στην Αθήνα οι κτηνοτρόφοι…

    05/11/2025, 5:27 μμ

    Νέο σεμινάριο Βασικής Υποστήριξης της Ζωής διοργανώνει ο Δήμος Ηρακλείου την Κυριακή 9 Νοεμβρίου

    05/11/2025, 4:59 μμ

    Με νέες δράσεις εμπλουτίζεται το πρόγραμμα «Διά… Δήμου Μάθηση» του Δήμου Ηρακλείου

    05/11/2025, 4:32 μμ

    Ηράκλειο: Συγκέντρωση διαμαρτυρίας των ξενοδοχοϋπαλλήλων την Παρασκευή για το επίδομα ανεργίας

    05/11/2025, 3:10 μμ
    Ροη ειδησεων

    Συνελήφθη συγγενής του νεκρού 39χρονου για εμπλοκή του στο ένοπλο περιστατικό στα Βορίζια

    05/11/2025, 7:11 μμ

    Πλημμύρισε ο δρόμος στο Φόδελε

    05/11/2025, 6:47 μμ

    Γιατί έρχεται βουτιά στην κατασκευή νέων κατοικιών το 2026

    05/11/2025, 6:31 μμ

    Ρεκόρ Γκίνες για το μεγαλύτερο μωσαϊκό από κολοκύθες – φόρο τιμής στον Όζι Όσμπορν

    05/11/2025, 5:59 μμ

    Την Παρασκευή στην Αθήνα οι κτηνοτρόφοι…

    05/11/2025, 5:27 μμ

    Νέο σεμινάριο Βασικής Υποστήριξης της Ζωής διοργανώνει ο Δήμος Ηρακλείου την Κυριακή 9 Νοεμβρίου

    05/11/2025, 4:59 μμ

    Με νέες δράσεις εμπλουτίζεται το πρόγραμμα «Διά… Δήμου Μάθηση» του Δήμου Ηρακλείου

    05/11/2025, 4:32 μμ
    • Facebook
    • Twitter
    • Instagram
    • Soundcloud
    ΘΕΜΑ ΚΡΗΤΗΣ

    Διεύθυνση: Οδός Η, Β.Ι.Π.Ε, 71408, Ηράκλειο Κρήτης
    Ταυτότητα

    επικοινωνια

    Email: [email protected]
    Τηλ: 2810 263260
    viber: 6972 272 278 (μόνο για μηνύματα)

    ΘΕΜΑ ΚΡΗΤΗΣ 103,1

    Πρόγραμμα
    Live
    Όροι Χρήσης
    Πολιτική Απορρήτου

    Facebook Twitter Instagram SoundCloud YouTube
    • Home
    © 2025 ΘΕΜΑ ΚΡΗΤΗΣ 103,1 | All Rights Reserved

    Πληκτρολογήστε και πατήστε Enter για αναζήτηση. Πατήστε Esc για ακύρωση.

    Διαχείριση Συγκατάθεσης
    Για να παρέχουμε την καλύτερη εμπειρία, χρησιμοποιούμε τεχνολογίες όπως cookies για την αποθήκευση ή/και την πρόσβαση σε πληροφορίες συσκευών. Η συγκατάθεση για τις εν λόγω τεχνολογίες θα μας επιτρέψει να επεξεργαστούμε δεδομένα προσωπικού χαρακτήρα, όπως συμπεριφορά περιήγησης ή μοναδικά αναγνωριστικά σε αυτόν τον ιστότοπο. Η μη συγκατάθεση ή η ανάκληση της συγκατάθεσης, μπορεί να επηρεάσει αρνητικά ορισμένες λειτουργίες και δυνατότητες.
    Λειτουργικά Πάντα ενεργό
    Η τεχνική αποθήκευση ή πρόσβαση είναι απολύτως απαραίτητη για τον νόμιμο σκοπό της δυνατότητας χρήσης συγκεκριμένης υπηρεσίας που ζητείται ρητά από τον συνδρομητή ή τον χρήστη ή με αποκλειστικό σκοπό τη μετάδοση επικοινωνίας μέσω δικτύου ηλεκτρονικών επικοινωνιών.
    Προτιμήσεις
    Η τεχνική αποθήκευση ή πρόσβαση είναι απαραίτητη για τον νόμιμο σκοπό της αποθήκευσης προτιμήσεων που δεν ζητούνται από τον συνδρομητή ή τον χρήστη.
    Στατιστικά
    Η τεχνική αποθήκευση ή πρόσβαση που χρησιμοποιείται αποκλειστικά για στατιστικούς σκοπούς. Η τεχνική αποθήκευση ή πρόσβαση που χρησιμοποιείται αποκλειστικά για ανώνυμους στατιστικούς σκοπούς. Χωρίς κλήτευση, η εθελοντική συμμόρφωση εκ μέρους του Παρόχου Υπηρεσιών Διαδικτύου ή πρόσθετες καταγραφές από τρίτο μέρος, οι πληροφορίες που αποθηκεύονται ή ανακτώνται για το σκοπό αυτό από μόνες τους δεν μπορούν συνήθως να χρησιμοποιηθούν για την αναγνώρισή σας.
    Εμπορικής Προώθησης
    Η τεχνική αποθήκευση ή πρόσβαση απαιτείται για τη δημιουργία προφίλ χρηστών, για την αποστολή διαφημίσεων ή για την καταγραφή του χρήστη σε έναν ιστότοπο ή σε διάφορους ιστότοπους για παρόμοιους σκοπούς εμπορικής προώθησης.
    Διαχείριση επιλογών Διαχείριση υπηρεσιών Manage {vendor_count} vendors Διαβάστε περισσότερα για αυτούς τους σκοπούς
    Προβολή προτιμήσεων
    {title} {title} {title}